


横にスワイプしてご覧ください
| 従来のホワイトニング | ハイブリッドポリリン ホワイトニング |
|
|---|---|---|
| 色味 | 薬液によって白く着色するので、透明感のない色味になります。 | 配合しているプラチナナノコロイド(白金の微粒子)の効果で輝く自然な白さになります。 |
| 痛み | 痛みを感じることや、知覚過敏になることがあります。 | 痛みを感じることが非常に少なく、歯がしみやすい人もしみにくいです。 |
| 色戻り | 歯をコーティングしていないので着色しやすく、特に施術直後は注意が必要です。 | ポリリン酸が歯をコーティングするため汚れが付きづらくなり、透明感や白さが長持ちします。 |
| 保護力 | 歯の表面に色素を分解するホワイトニング剤を塗るので、歯にダメージが残ります。 | CAPシステムにより歯の表面エナメル質をアパタイトコーティングするため、歯質がより強化され、歯を傷つけにくくなり虫歯予防にもつながります。 |
| 施術費用 (1回) |
高額 | 低価格 |
こんな方にオススメ








*無カタラーゼ症(高原氏病)の方、妊娠中または授乳中の方はホワイトニングを行えません。
ホワイトニング前の問診・カウンセリングにてお身体やお口の状態を確認し、ホワイトニングを行えるか判断します。

ポリリン酸(Cジェル)は歯の表面の細かい凹凸に入った汚れを浮かせますので着色の除去効果があり、アパタイト(歯を支える骨の構成成分=リン酸カルシウム)で歯の表面の細かい凹凸を埋め、フッ素コーティングで歯質を強化します。

ハイブリッドポリリンホワイトニングはホワイトニングを行う前にCAPシステムにて歯の表面処理を行うため、ホワイトニングの成分が歯の表面だけでなく奥まで浸透し自然な透明感が残る白い歯になります。
また、歯の表面の細かい凹凸の傷がCAPシステムで埋められツルツルしているので、より透明感のある輝く白い歯になります。


治療前の歯の色をチェック

白くしたい部分に専用の薬剤を塗布

特殊な光を照射(数回繰り返し)
こんな方におすすめ


治療前の歯の色のチェックとトレーの作製

自宅での使用方法説明

自宅でトレーを用いてホワイトニング
こんな方におすすめ


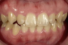
治療前
治療後
| 年齢・性別 | 25歳・女性 |
|---|---|
| 治療回数 | 3回 |
| 費用 | 35,000円(税込) |
当医院は患者さん1人1人の時間を大切にして治療を行なっておりますので、
ご予約・キャンセルについて、こちらの内容を守っていただくように予めご了承ください。
オフィスホワイトニングは90分の施術時間を
取らせていただいています。
予約できる時間帯は、
平日9時〜10時半・14時〜17時半
/土曜9時〜10時半・14時〜15時半です

治療前

治療後
| 年齢・性別 | 45歳・女性 |
|---|---|
| 治療回数 | 全4回(期間2ヶ月) |
| 費用 | 10,000円(税込) |