診療案内

*

*

歯周病・歯周内科

オーダーメイドの
快適な入れ歯
硬いものが噛めない…入れ歯が落ちそうで口を開けて笑うことができない…
そのような不安から諦めたり、我慢して入れ歯を使ってはいませんか?
当院では、入れ歯の方が不快な症状で困ることのない生活を送ることができるよう
オーダーメイド設計の快適な入れ歯を提供しています。

良い義歯(入れ歯)を作る
ポイント

「痛い」「落ちる」「ずれる」「噛みにくい」こんな悩みを解消したい方に!

当院では患者さんの希望に合った義歯を
なるべく提案させていただきます。
  • ・義歯を支える歯がしっかりしているか(必要があれば虫歯・歯周病治療を優先して行います)
  • ・患者さんが取り外しがしやすく、入れた時に安定が良い
  • ・強度があり必要に大きすぎず、なるべく違和感がない大きさになっているか
  • ・正確に型が取れているか
以上の点を気を付けて行っています。
毎日をストレスフリーで過ごすために 入れ歯のお悩みチェック *
  • 入れ歯が痛くて噛むことができない。

  • 入れ歯がガタガタしたり、ずれたりする。

  • 入れ歯が外れたり、外れそうになったりする。

  • 発音が難しかったり、大きな声が出しづらい。

  • パンなどの柔らかい物も噛みにくいことがある。

  • うどんやラーメンなど麺類が食べづらい。

一つでも当てはまる方は、
ぜひ一度ご相談ください!

義歯(入れ歯)の種類

患者さんに提案できる義歯は大きく分けて2種類あります。

保険適用の入れ歯
保険適用では、人工歯と床(しょう=歯茎となる部分)の素材は樹脂(プラスチック、レジン)のみと決まっていて、材料・設計に制限があります。
床部分は、耐久性の問題からプラスチックだと一定の厚みが必要になるため、装着時に違和感をおぼえたり、食べ物の熱を遮断しやすい傾向にあります。場所によっては一目で入れ歯だとわかってしまい、見た目が気になってしまうこともあります。
メリット
  • 保険適用のため、比較的安価で製作できる。
  • 破損しても修理が容易でスピーディーにできる。
デメリット
  • 長期間の使用で変色・すり減りが起きやすい。
  • 比較的、臭いや汚れが吸着しやすい。
  • 厚みがあるので装着時に違和感がある。
  • 食べ物の味や温度がわかりづらく食事を楽しめない。
保険適用外(自費)の入れ歯
素材を自由に選択できるため、臭いがつきにくい素材やクラスプ(金属の留め具)が必要ない素材、丈夫で生体親和性の高い金属などが使用できます。使い心地はもちろん見た目の美しさも追及でき、保険適用入れ歯のデメリットを解決します。
さらに、床やクラスプだけでなく人工歯部分の素材も選択できるため、より自然な見た目を再現することができます。
見た目や機能性などにこだわったオーダーメイドの精密な入れ歯をお求めの方におすすめです。
メリット
  • 自由な材料が使用でき設計もいろいろな提案が可能。
  • 金属を使用しないので金属アレルギーのリスクがなく、歯茎が黒ずむ心配もない。
  • 保険の義歯よりも目立たなく違和感がない義歯が作成可能。
デメリット
  • 自費診療のため、比較的費用負担が大きい。

当院で行っている保険外の義歯ミラクルデンチャー

*

大きさや厚みが従来の入れ歯とは
全く異なる快適な入れ歯
大阪にある義歯専門のミラクルラボという技工所で作成しています。
いつも技工士さんと打ち合わせを行い、患者さんにとって一番良い設計・材料を選んで作成していきます。
ミラクルデンチャーの特徴は保険の義歯と比較すると以下のようになります。
従来の入れ歯
  • 留め具で歯に固定するので、入れ歯を支える歯が次第に弱ってくる。
  • 床の部分が多いので、食事の温度や食感を感じづらく、本来の味を楽しむことができない。
  • 留め具が目立つので、大きく口を開けた時に入れ歯だと周囲に分かってしまう。
  • 長期間の使用から、変色・すり減りが起きて、臭いや汚れが吸着されやすい。
ミラクルデンチャー
  • 歯の揺れを止め、残っている歯の保護をしてくれるので、支える歯に負担がかからない。
  • 上あごは床の部分が取り除かれているので、本来の食べ物の味わいを取り戻す事が出来る。
  • 留め具が無いので入れ歯が目立たず、人前で思い切り笑うことができる。
  • 従来の入れ歯よりも小さいので違和感が少なく、長時間装着しても問題ないくらい快適。
ミラクルデンチャーフィットⅢ
による義歯作成例
  • *

    正面(装着時)

  • *

    上顎(装着時)

  • *

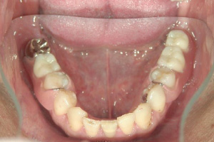
    下顎(装着時)

  • *

    上顎

  • *

    下顎右側

  • *

    下顎左側

  • 治療内容
    ミラクルデンチャーフィットⅢによる義歯作成
    年齢・性別 39歳・男性
    治療期間 型取り1回
    かみ合わせ採得1回
    義歯の試適1回
    義歯の完成・装着1回
    計4回(2か月程度)
    費用 上顎:
    108,000円(税込)
    下顎:
    64,800円(税込)×2
  • 主訴、治療計画・内容
    「目立たなくて、なるべく違和感の少ない入れ歯を作りたい。」との主訴で治療開始。
    義歯の支えとなる歯が虫歯・歯周病になっている為まずそちらの治療を行い、義歯の支えとなる歯を中心としたブラッシング指導を行った後に義歯の型取りを行う。ミラクルデンチャーは保険の義歯とは取り外し・装着が異なる為、練習が必要になる場合がある。
注意点
  • ・義歯の支えとなる歯は特に虫歯・歯周病になりやすいためブラッシングを徹底してもらう。
    また、義歯も清潔に保ち、毎日の手入れを欠かさずに行ってもらう。
  • ・義歯の装着まで終わっても、現状維持するために定期的な検診を行う必要がある。
    定期検診の内容は虫歯・歯周病・ブラッシング状態・義歯のチェック・口腔内の清掃を行う。

義歯(入れ歯)の
メインテナンス

*

定期的なメインテナンスで長持ちします!
入れ歯は毎日の洗浄で清潔に保つことはもちろん、歯科医院での検診やメインテナンスを受けることで長持ちします。
ご自宅での清掃、歯科医院でのクリーニングを怠ることから汚れが溜まり、口臭の原因になったり、土台の歯が歯周病になって抜けてしまい、最悪の場合、入れ歯を作り直さなければならないこともあります。ご自身のお口の健康を維持して残った歯を守り、入れ歯を快適に使い続けるために、毎日のブラッシングも大切ですが、定期的に歯科医院へ通い、専門的なクリーニングを受けることをおすすめしています。
medical
ページの先頭へ戻る